mrimaster

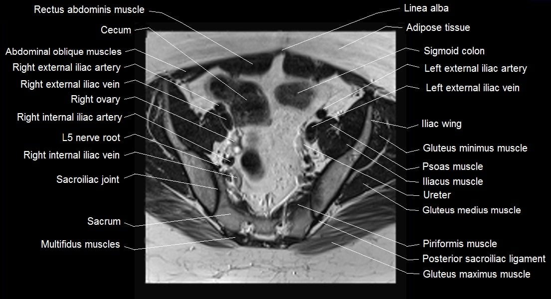
MRI Axial Cross-Sectional Anatomy of Female Pelvis

This MRI female pelvis axial cross sectional anatomy title tool is absolutely free to use. Use the mouse scroll wheel to move the images up and down, or alternatively, use the tiny arrows (→) on both sides of the image to navigate through the images. For a more detailed view, double-click the image to view it in full screen, and use the menu in the top right-hand corner to view individual slides or play them in a loop.

mri female pelvis anatomy axial
100% mri female pelvis 1/1

Unlock MRIMaster Offline & Ad-Free for $10