VIBE(LAVA-XV/THRIVE/TIGRE) Fat Sat Post Contrast
MRI image appearance
The easiest way to identify T1 VIBE fat-saturated post-gadolinium images is to look for adipose tissues (e.g., subcutaneous fat and fat in bone marrow) and blood vessels in the body (e.g., arteries and veins in the chest, abdomen, upper limbs, and lower limbs). Areas containing adipose tissues appear dark on T1 VIBE fat-saturated post-gadolinium images. Blood vessels and pathologies with high vascularity appear bright on T1 VIBE fat-saturated post-gadolinium images. All other characteristics of the T1 VIBE fat-saturated post-gadolinium images remain the same as the T1 VIBE images.
Tissues and their T1 VIBE fat saturated post gadolinium appearance
Fluids : – dark (Ureters and bladder appear as bright due to the contrast excretion)
Bone marrow : – dark
Muscles- gray
Kidneys :- bright
Liver :-bright
Spleen :- bright
Pancreas :- bright
Bowel walls :- bright
Prostate :- bright
Uterus:- bright
Moving blood : – bright
White matter : – whiter
Gray matter : – gray
Bone : – dark
Fat : – dark
Air : – dark
Use
- Very useful for pancreas imaging
- Very useful for kidney imaging
- Very useful for abdominal imaging
- Very useful for liver imaging
- Very useful for kidneys imaging
- Very useful for urography imaging
- Very useful for chest imaging
- Very useful for neck imaging
- Very useful for small bowel imaging
- Very useful dynamic pelvis imaging
- Very useful dynamic breast imaging
- Very useful for extremity 3D imaging
Pathological appearance
Pathologies with adipose tissue content will appear dark on T1 VIBE fat-saturated post-gadolinium images (e.g., lipoma). Pathologies with hypervascularization will appear bright on T1 VIBE fat-saturated post-gadolinium images (e.g., tumors like hemangioma, lymphangioma, hemangioendothelioma, Kaposi sarcoma, angiosarcoma, hemangioblastoma, etc., and inflammatory processes like discitis, meningitis, synovitis, arthritis, osteomyelitis, etc.). Pathological processes with no vascularity will remain unenhanced (appearing dark on T1 VIBE fat-saturated post-gadolinium images).
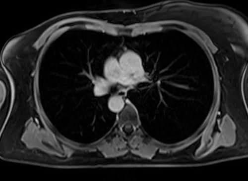
VIBE FAT SAT AXIAL POST CONTRAST SEQUENCE USED IN CHEST IMAGING

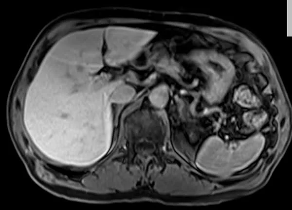
VIBE FAT SAT AXIAL POST CONTRAST SEQUENCE USED IN LIVER IMAGING

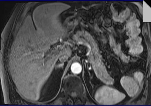
VIBE FAT SAT AXIAL POST CONTRAST SEQUENCE USED IN PANCREAS IMAGING

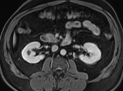
VIBE FAT SAT AXIAL POST CONTRAST SEQUENCE USED IN RENAL IMAGING

VIBE FAT SAT Coronal POST CONTRAST SEQUENCE USED IN BREAST IMAGING

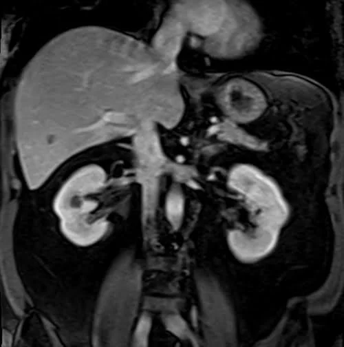
VIBE FAT SAT CORONAL POST CONTRAST SEQUENCE USED IN KIDNEYS IMAGING

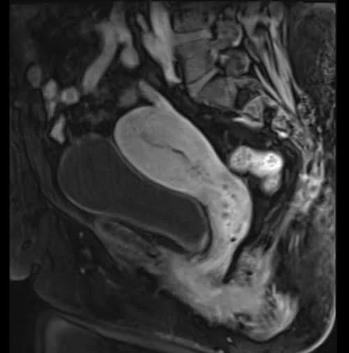
VIBE FAT SAT SAGITTAL POST CONTRAST SEQUENCE USED IN GYNECOLOGICAL PELVIS IMAGING

VIBE FAT SAT AXIAL POST CONTRAST SEQUENCE USED IN PROSTATE IMAGING

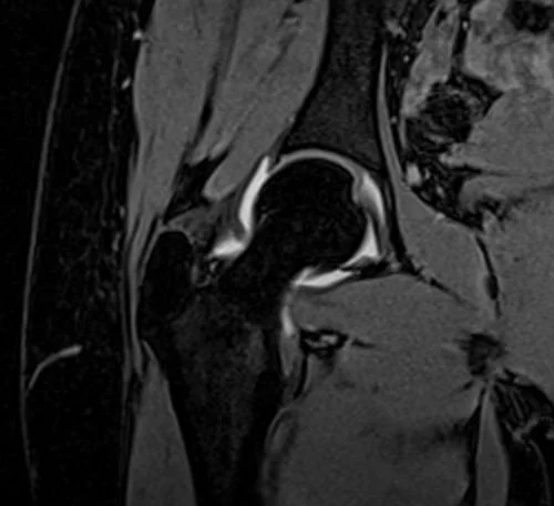
VIBE FAT SAT CORONAL POST JOINT INJECTION SEQUENCE USED IN HIP ARTHROGRAPHY IMAGING

VIBE FAT SAT AXIAL POST JOINT INJECTION SEQUENCE USED IN SHOULDER ARTHROGRAPHY IMAGING
