mrimaster

MRI Care Bolus/Smart Prep/FluoroTriggered MRA/BolusTrak/Flute/Visual PRE

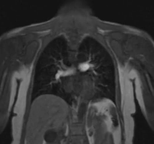
“Care bolus” is the most commonly used bolus tracking technique in contrast-enhanced magnetic resonance angiography. This technique employs a fast gradient-refocused sequence with a special Fourier transformation. Only the center of the Fourier space is measured as quickly as possible. Real-time images of the vascular structure of interest are obtained every second. The operator can then observe the contrast bolus as it arrives in the vascular structure and subsequently switch to the centric 3D dynamic sequence.

MRI image appearance

The care bolus image looks similar to the T1 localizer scans, with contrast in the blood vessels appearing bright during image acquisition.

Use of Care Bolus

CARE BOLUS SEQUENCE USED IN CHEST ANGIOGRAPHY

CARE BOLUS SEQUENCE USED IN CHEST ANGIOGRAPHY

CARE BOLUS SEQUENCE USED IN CHEST ANGIOGRAPHY

Unlock MRIMaster Offline & Ad-Free for $10