Skip to content
mrimaster
Menu
Home
mri pathologies
Brain Pathologies
Neck Pathologies
IAM pathologies
Abdomen Pathologies
Spine Pathologies
Pelvis Pathologies
Thigh Pathologies
Knee Pathologies
Shoulder Pathologies
Upper Arm Pathologies
Hand Pathologies
Image characteristics
T1
T1 vs T2 MRI
T1 vs T2 vs PD vs FLAIR MRI
T1 fat saturated MRI
T1 Post I.V. contrast
T1 Fat Saturated Post Contrast
T2 MRI
T2 Fat Saturated
T2* MRI
Proton Density (PD)
Proton Density(PD) Fat Saturated
STIR
FLAIR MRI
FLAIR vs STIR
True FISP
True Fisp Fat Saturated
Volume Interpolated Gre Post Contrast
Volume Interploated Gre Fat Sat
True Fisp Dual Exictation
Volumetric interpolated breath-hold examination (VIBE)
Contrast bolus timing visualiztion
Multi-echo data image combination
Double echo steady state
Diffusion-weighted imaging(DWI)
Apparent diffusion coefficient (ADC)
Apparent diffusion coefficient (ADC)
RESOLVE DWI
ZOOMit DWI
3D TSE with variable flip angle
Phase contrast(PC)
Time of flight(TOF)
Ultrasfast gradient echo 3D
Single-shot TSE/FSE
Spiled gradient echo fat saturated post contrast
Spoiled Gradient Echo fat sat
Spoiled Gradient Echo Post Contrast
Spoiled gradient echo
Volume interpolated GRE fat saturated post contrast
Volume Interploated Gre Fat Sat
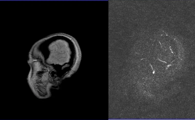
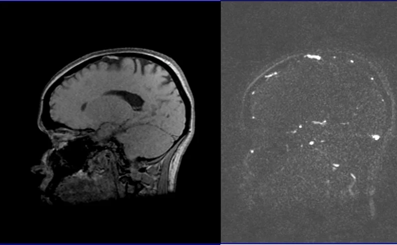
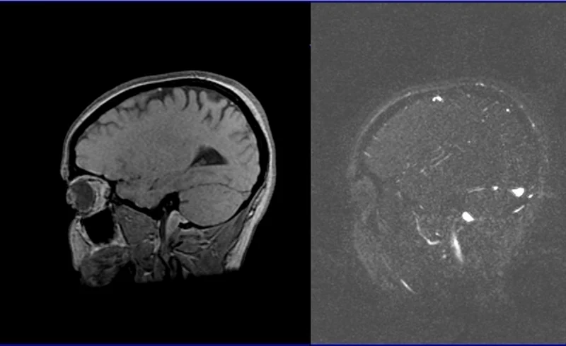
Susceptibility weighted imaging (SWI)
Phase-contrast (PC) flow MRI
Phase-sensitive inversion recovery (PSIR) MRI
TI scout (look-locker)
MRI localizer/scout
MRI Cross Vendor Terminology (MRI Acronyms)
Planning MRI
Brain
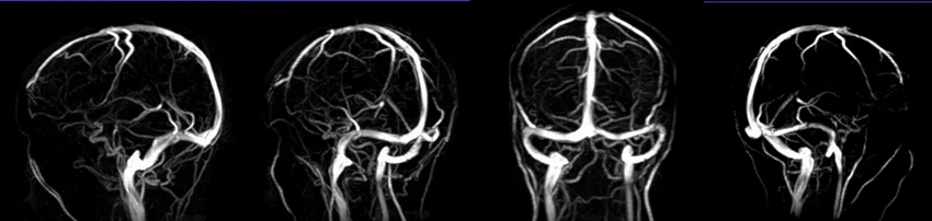
MRA BRAIN
MRV Brain
Pediatric Brain
Orbits
Internal Acoustic Meatus(IAM’S)
DWI IAM’S(Cholesteatoma)
IAM’S( Ménière’s disease protocol)
Malignant otitis externa (MOE)
Paranasal sinuses
Cavernous sinus MRI & MRA
Cerebrospinal fluid (CSF) flow MRI
CSF flow chiari 1 malformation
MRI cisternography (CSF Rhinorrhea Protocol)
Pituitary
Dynamic Pituitary
Epilepsy protocol
Temporomandibular joint (TMJ)
Trigeminal nerve
Facial nerve
Face
SOFT TISSUE NECK
Larynx
MR SIALOGRAPHY
Cervical spine
Cervical spine exit foramen view
CSF Leak Protocol Cervical Spine
MRA neck(carotid)
BRACHIAL PLEXUS
MRA SUBCLAVIANS
TWIST MRA neck & subclavian
Chest
Pectoralis muscle
Thymus (mediastinum)
Sternum
Sternoclavicular (SC) joint
CLAVICLE
Thoracic spine
CARDIAC MRI (MYOCARDIAL VIABILITY)
CARDIAC STRESS PERFUSION
Cardiac MRI Flow Quantification
MRI Myocardial Mapping(T1, T2 & T2* mapping)
MRI kidney (dynamic)
MRI Kidneys (respiratory gated)
MRA Renal Arteries
NATIVE(non-contrast) MRA renal arteries
Adrenal
Liver (breath hold)
Liver (Respiratory gated)
MRCP (Breath hold)
MRCP (Respiratory gated)
Pancreas (Breath hold)
Pancreas (Respiratory gated)
SECRETIN STIMULATED MRCP
Small bowel
Breast
BREAST IMPLANT
RECTAL CA PELVIS
ANTERIOR ABDOMINAL WALL
Urinary bladder
FEMALE URETHRA
Prostate (straight imaging)
Prostate (oblique imaging)
SOFT TISSUE PENIS
MRI TESTIS
Gynae pelvis (Endometrial protocol)
Gynae pelvis (Fibroid protocol)
Gynae pelvis (Large abdominopelvic Mass)
Gynae pelvis (ovarian ca/adnexal mass protocol)
Gynae pelvis (cervical cancer protocol)
Gynae pelvis (Endometriosis protocol)
Adnexal mass in pregnancy
Placenta MRI
Fetal brain
Fetal spine
Fetal abdomen
RECTOVAGINAL FISTULA
Fistula
Perianal fistula with contrast
PROCTOGRAM
Appendix
Musculoskeletal(MSK) pelvis
HIPS (bilateral)
HIP (unilateral)
MRI Arthrogram Hip Protocol and Planning
PSOAS
Sports hernia protocol
LUMBAR SPINE
Lumbar spine exit foramen view
LUMBOSACRAL PLEXUS
SI JOINTS
KUB
UROGRAPHY
THIGH
Thigh Two-Station Automatic Composing
Knee
LOWER LEG
Ankle
Peroneal tendon
Foot
Forefoot
Shoulder
SCAPULA
ARTHROGRAPHY SHOULDER
Humerus
ELBOW
Elbow FABS view
FOREARM
Wrist
Hand
Fingers
Thumb
Middle finger
Index finger
Ring finger
MRA UPPER ARM
TWIST MRA Upper arm
MRA HAND
TWIST MRA HAND
Whole spine
Whole spine (automatic composing)
Pediatric whole spine
Spinal cord protocol
Multiple sclerosis (MS) protocol(brain+cord)
MRA lower limb(Legs)
QISS(non contrast) MRA lower limb
Whole body DWI
Whole body MRA
Techniques
MRI Contrast dosage calculator
Averages (NEX/NSA)
MRI Bandwidth
BLADE \PROPELLER
Compressed Sensing (CS)
concatenations
Deep Resolve
TR and TE
Echo train length (ETL)
Field of view (FOV)
Flip Angle
MRI Fat saturation techniques
Inversion time (TI)
Metal artifact reduction techniques
MRI BioMatrix sensors
Navigators
Oversampling
Parallel imaging
Partial Fourier
Resolution
Temporal Resolution
SNR MRI
CNR MRI
Slice Thickness
Specific Absorption Rate(SAR)
B1+rms
MRI Velocity Encoding (VENC)
MRI K-Space
MRI distance factor / Slice gap
MRI Quench
MRI contrast agents (Gadolinium DTPA)
Isocenter in MRI
Phese encording direction
5 gauss line
Larmor frequency
Anatomy
AXIAL BRAIN
MRI Brain Anatomy 3T 3MM
CORONAL BRAIN
SAGITTAL BRAIN
CRANIAL NERVES
BRAIN ORBITS
TMJ
CEREBRAL ARTERIES
CEREBRAL VEINS
NECK AXIAL
NECK ARTERIES
C SPINE AXIAL
C SPINE SAGITTAL
BRACHIAL PLEXUS
CHEST AXIAL
CHEST CORONAL
HEART
CHEST ARTERIES
ABDOMEN AXIAL
ABDOMEN CORONAL
ABDOMINAL ARTERIES
BILIARY SYSTEM AXIAL
BILIARY SYSTEM CORONAL
L SPINE SAGITTAL
MALE PELVIS AXIAL
MALE PELVIS SAGITTAL
FEMALE PELVIS SAGITTAL
FEMALE PELVIS AXIAL
HIP AXIAL
HIP CORONAL
SHOULDER AXIAL
SHOULDER CORONAL
ELBOW AXIAL
WRIST AXIAL
WRIST CORONAL
MRI Knee anatomy
KNEE CORONAL
KNEE SAGITTAL
ARTERIES UPPER LEG
ARTERIES LOWER LEG
MRI ankle anatomy
MRI foot anatomy
MRI Artifacts
Artifacts | Motion artifacts
Aliasing/wrap around artifact
BLADE/ PROPELLER Artifacts
Blooming artifact
Bolus timing artifact
Bounce point artifact
Cross talk artifact
Contrast media related artifacts
Chemical shift artifact
Dark band artifact
Data Clipping artifact
Dielectric effect artifact
Eddy current artifact
Flow artifacts
Fat-water swap artifact
Gadolinium Pseudo Layering artifact
Gibbs artifact
Gradient non linearity artifact / Image distortion artifact
Herringbone artifact/RF spike artifact
Lipid suppression artifact
MRI composing/ image stitching artifact
Magnetic susceptibility artifact
Moire fringes
Magic angle artifact
Nyquist ghost artifact
Projection artifact
Partial voluming artifact
Parallel imaging artifact
RF overflow artifact
RF inhomogeneity artifact
Radiation induced artifact
Surface coil flare artifact
Stair step 2D tof artifact
Stimulated echo artifact
Spatially dependent phase shift artifact
Signal-to-noise ratio-related artifact
Signal loss artifact
Starry-sky artifact
Saturation band artifacts
The annefact
Zipper artifact
Zebra artifact / Zebra stripes
Zero filling artifact
MRV brain phase contrast(PC) 3D images
Post processed MIP images from 3D rowdata
Unlock MRIMaster Offline & Ad-Free for $10