MRI Rectal Cancer (Protocol and Planning )
Indications for rectal cancer MRI scans
- Patients who are suspected of having or are diagnosed with recurrent rectal carcinoma
- Patients who have undergone preoperative chemoradiotherapy
- Patient with newly diagnosed rectal carcinoma, prior to treatment
- MRI to assess the need for neoadjuvant therapy
- For the evaluation of tumour recurrence
- Local tumour staging
Contraindications
- Any electrically, magnetically or mechanically activated implant (e.g. cardiac pacemaker, insulin pump biostimulator, neurostimulator, cochlear implant, and hearing aids)
- Intracranial aneurysm clips (unless made of titanium)
- Pregnancy (risk vs benefit ratio to be assessed)
- Ferromagnetic surgical clips or staples
- Metallic foreign body in the eye
- Metal shrapnel or bullet
Patient preparation for MRI Rectal Cancer scan
- A satisfactory written consent form must be taken from the patient before entering the scanner room
- Ask the patient to remove all metal object including keys, coins, wallet, any cards with magnetic strips, jewellery, hearing aid and hairpins
- Ask the patient to undress and change into a hospital gown
- Contrast injection risk and benefits must be explained to the patient before the scan.
- Gadolinium should only be given to the patient if GFR is > 30
- If possible provide a chaperone for claustrophobic patients (e.g. relative or staff )
- Offer earplugs or headphones, possibly with music for extra comfort
- Explain the procedure to the patient
- Instruct the patient to keep still
- Note the weight of the patient
Please check our new video tutorial for protocols and planning
Positioning for MRI Rectal Cancer scan
- Position the patient in supine position with head pointing towards the magnet (head first supine)
- Position the patient over the spine coil and place the body coil over the pelvis(two inches above iliac crest down to three inches below symphysis pubis)
- Securely tighten the body coil using straps to prevent respiratory artefacts
- Give a pillow under the head for extra comfort (do not give cushions under the legs )
- Centre the laser beam localiser over anterior superior iliac spine (2 inches below iliac crest)

Recommended MRI Rectal Cancer Protocols and Planning
MRI Rectal Cancer scan localiser
A three-plane localizer must be taken at the beginning to localize and plan the sequences. Localizers are normally less than 25 seconds and are T1/T2 weighted low-resolution scans.

T2 tse sagittal 3mm SFOV
Plan the sagittal slices on the axial plane; angle the positioning block parallel to the interpubic fibrocartilage and the anal canal. Check the positioning block in the other two planes. Provide an appropriate angle in the coronal plane (parallel to the rectum and the anal canal). Ensure that the slices are sufficient to cover the entire pelvis from the right acetabulum to the left acetabulum. The field of view (FOV) must be large enough to encompass the entire pelvis (usually 270mm-300mm). To reduce artifacts caused by arterial pulsation and breathing, consider adding saturation bands on top and in front of the sagittal block.

Parameters
TR 3000-4000 | TE 100-120 | SLICE 3 MM | FLIP 130-150 | PHASE A>P | MATRIX 320X320 | FOV 270-300 | GAP 10% | NEX(AVRAGE) 3 |
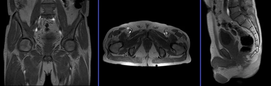
T2 tse axial 5mm big FOV
Plan the large FOV axial slices on the coronal plane. Angle the positioning block parallel to the right and left hip joints. Check the positioning block in the other two planes, ensuring an appropriate angle is given in the sagittal plane (horizontally across the pelvis). The slices must be sufficient to cover the entire pelvis from the iliac crest down to 1 inch below the symphysis pubis. The FOV should be large enough to encompass the whole pelvis, typically ranging from 350mm to 400mm. To reduce artifacts from arterial pulsation, peristalsis, and breathing, consider adding saturation bands on top of the axial block.

Parameters
TR 4000-5000 | TE 100-120 | SLICE 5 MM | FLIP 130-150 | PHASE A>P | MATRIX 384X384 | FOV 350-400 | GAP 10% | NEX(AVRAGE) 2 |
T2 tse axial oblique 3mm SFOV
Plan the axial oblique slices on the sagittal plane. Align the position block perpendicular to the rectum, taking care to position the axial slice precisely perpendicular to any visible cancer within the rectum. Verify the positioning block’s alignment in the other two planes. Ensure an appropriate angle in the coronal plane, also perpendicular to the rectal cancer. Adjust the number of slices to cover the entire rectal cancer adequately. To minimize artifacts caused by arterial pulsation, peristalsis, and breathing, consider adding saturation bands on top and anterior to the axial block.

Parameters
TR 3000-4000 | TE 100-120 | SLICE 3 MM | FLIP 130-150 | PHASE A>P | MATRIX 320X256 | FOV 180-230 | GAP 10% | NEX(AVRAGE) 5 |
T2 tse coronal oblique 3mm SFOV
Plan the coronal oblique slices on the sagittal plane and angle the positioning block parallel to the rectum. It is essential to align the coronal slice parallel to any visible cancer within the rectum. Check the positioning block in the other two planes. In the axial plane, ensure an appropriate angle is given either horizontally across the rectal cancer or parallel to the right and left hip joint. The slices must be sufficient to cover the entire rectum and pre-sacral space from the symphysis pubis up to the sacrum, as it is crucial to include the lymph nodes in the pre-sacral space. To reduce artifacts from arterial pulsation, peristalsis, and breathing, consider adding saturation bands on top and in front of the coronal block.

Parameters
TR 3000-4000 | TE 100-120 | SLICE 3 MM | FLIP 130-150 | PHASE R>L | MATRIX 320X256 | FOV 180-230 | GAP 10% | NEX(AVRAGE) 5 |