Phase Contrast (PC) MRA/PCA/VENC
These techniques derive contrast between stationary tissues and flowing blood by manipulating the phase of magnetization. The phase of magnetization from stationary spins is zero, while the phase of magnetization from moving spins is non-zero. Phase represents how far the magnetization process has evolved from the time it is tipped into the transverse plane until it is detected. A bipolar gradient pulse with equal magnitude and opposite direction is employed to diminish the signal from stationary tissue.
Phase contrast angiography (PCA) utilizes the transverse magnetization vector. In phase difference images, the signal is linearly proportional to the velocity of the spins. Fast-moving spins result in a larger signal, and spins moving in one direction are depicted with a bright signal, appearing white in the scan. Conversely, spins moving in the opposite direction are indicated by a dark signal, appearing black in the scan. Phase contrast methods are sensitive to a range of velocities, requiring users to carefully select an appropriate value. Different velocity encoding values can be applied in various scans to emphasize different vessels.
A high velocity encoding is used for arteries (40-70 cm/sec) due to the rapid arterial flow, while a low velocity encoding is utilized for veins (10-20 cm/sec) owing to the slower venous flow. Phase contrast scans can be employed for both 2D and 3D imaging.
Use of Phase Contrast MRA Sequence
- Very useful for dural venous sinus imaging
- Useful for circle of willis imaging
- Useful for carotid arteries imaging
- Can be useful for arterial imaging in the legs
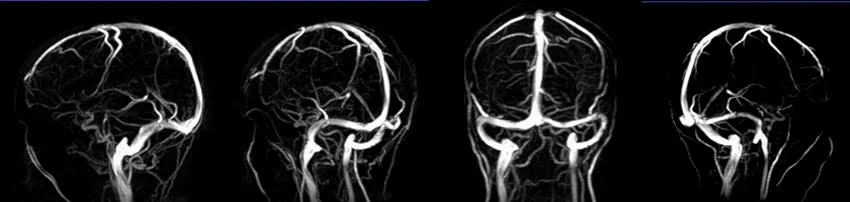
3D PHASE CONTRAST( PC) SEQUENCE USED IN MRV BRAIN IMAGING

POST PROCESSED MIP IMAGES
